
爱喝夜奶又不刷牙 4岁童 18颗牙蛀到见底 牙医也傻眼 太严重了 阿波罗新闻网

牙齿都烂了一半 为什么不能直接补牙 知乎

為什麼牙醫不把蛀牙一次補完 要我來好幾次是不是想賺掛號費 The News Lens 關鍵評論網

一颗牙齿蛀牙后多久会被蛀光 还能补吗 知乎
9岁女童烂牙蛀穿下巴 这个小错误你还在犯吗 宝宝树
牙齿被蛀光了怎么办第1页 驾考预约大全

牙齦長膿包 以為火氣大 他慘遭細菌蛀骨2公分大洞 Ettoday健康雲 Ettoday新聞雲

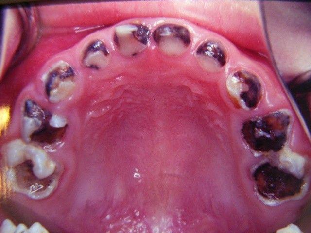
天天一杯手搖飲牙齒蛀光光 醫生傳授一招潔牙秘訣 拯救滿口爛牙永不蛀牙 每日健康health 每日健康health

10年天天喝汽水 甜美妹牙齒 蛀黑爛光 拍片親曝慘痛下場 Ettoday國際新聞 Ettoday新聞雲
![]()
牙齿被蛀掉了一半 怎么判断牙髓坏死 网易订阅

7岁男童牙齿烂光 颌骨蛀空 警惕别让自己的懒惰毁了孩子一生 快资讯